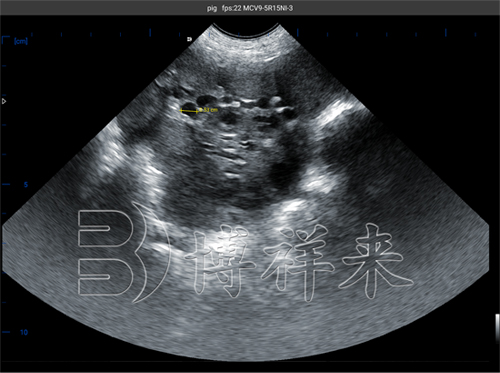
猪用B超机测母猪卵泡大小B超图像
在现代化猪场的繁殖管理中,掌握母猪卵泡的发育情况 是提高配种成功率、缩短空怀期的关键。借助 猪用B超机,我们可以直观地看到卵巢上卵泡的数量、形态和大小变化,从影像上“读懂”母猪的发情周期。
一、超声图像中的卵泡是什么样的?
在B超图像中,卵泡表现为:
圆形或椭圆形的黑色无回声区;
边缘清晰、轮廓光滑;
周围有一圈稍强回声的卵巢组织包绕。
这是因为卵泡内部充满液体,声波穿透后被吸收或折射,形成典型的黑色影像。
在发情周期的不同阶段,卵泡的大小、数量及排列分布都会发生变化,这为B超判读提供了重要依据。

二、不同发情阶段的卵泡影像特征
| 阶段 | 卵泡直径(mm) | B超图像特征 | 临床意义 |
|---|---|---|---|
| 卵泡早期 | 1–2 mm | 小而密集的黑点状影 | 卵泡开始发育,可见多个原始卵泡 |
| 卵泡中期 | 3–5 mm | 黑色无回声区增大,轮廓清晰 | 卵泡发育活跃,雌激素分泌上升 |
| 排卵前期 | 6–8 mm | 单个或少数卵泡明显突出,壁较薄 | **配种时机,排卵即将发生 |
| 排卵后期 | 消失或塌陷 | 黑区消退,出现中等回声黄体组织 | 排卵完成,形成黄体 |
通过B超影像观察卵泡发育,就像在显微镜下读懂繁殖的节奏。 猪用B超机 不仅是检测妊娠的工具,更是现代化猪场精准繁殖的重要“眼睛”。 它让配种从经验判断变成了可视化决策,助力猪场向高效、科学、可控方向发展。
推荐文章
便携式羊用B超仪厂家博祥来是郑州一家生产研发兽用B超机的厂家,羊用B超仪M3 拥有3种色彩显示,检测母羊妊娠更加准确,图像清晰。...
牛用B超机品牌识别系统包括由品牌识别创建的价值主张。除了牛用B超机功能性利益,价值主张还包括情感性和自我表达型利益。...
随着畜牧业和宠物医疗行业的发展,兽用B超仪逐渐成为动物诊断中的关键设备。作为兽用B超设备的领先厂家,博祥来提供了一系列高性能的B超仪,专为不同动物诊断需求设计。...
兽用B超机厂家检查母牛是否怀孕是繁殖效率的重要组成部分。但是,大多数有关妊娠诊断价值的文章都集中在确定空腹母牛并使其脱离饲料账单上。...
作为专业的羊用B超机厂家,博祥来在羊用B超机的研发与推广上积累了丰富的实践经验。旗下设备成像清晰、操作简便,适合养殖场一线技术员日常使用。...
在众多兽用B超机品牌之中,博祥来十余年来,一直从事兽用B超机的应用、研究和销售,具有很多优势。1. 核心技术保障检测精准性高分辨率成像:配备高清显示屏,图像细腻...